

オフィスホワイトニングの特徴は、漂白すべき歯に薬剤(ジェル)を塗り、
マシーンから特殊な光線を照射します。

| 1回 | 38,500円(税込) |
|---|
ホームホワイトニングとは、自宅で行うホワイトニングです。
歯科医院で「マウストレー」を作成し、ご自宅でそのマウストレーに薬剤を入れて行います。少しずつ白くなっていくので白さを実感するのに2週間ほどかかりますが、オフィスホワイトニングより持続時間を長く保つことができます。
| スターターキット | 27,500円(税込) |
|---|
デュアルホワイトニングとは、オフィスホワイトニングとホームホワイトニングを併用する治療です。費用はかかりますが、はっきりとした白い歯にすることができ、歯の白さを長期間保つことができます。
| 1回 | 55,000円(税込) |
|---|

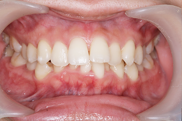
術前

術後
オフィスホワイトニング 38,500円
主訴 歯の色が気になると来院。
全体クリーニング後、1回の施術で効果を実感でき、3回目で希望の白さに近づけた。
治療期間:1日(写真は1回目の処置後)
副作用・リスク:一時的に知覚過敏の症状が出る可能性あり

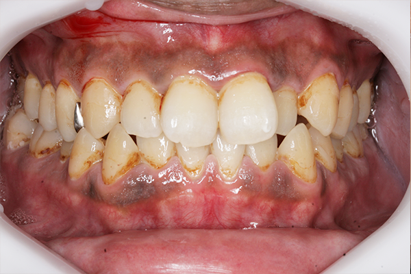
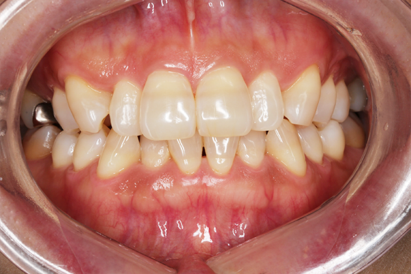
術前

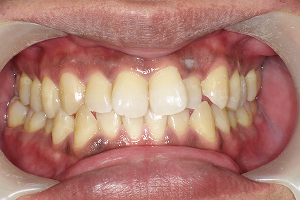
術後
虫歯治療費+オフィスホワイトニング施術費(38,500円)
主訴 たばこのヤニなど全体的にきれいにしたいと来院。
むしば治療とオフィスホワイトニングを2回行い全体的に白くすることができた。
治療期間:1か月
副作用・リスク:一時的に知覚過敏の症状が出る可能性あり


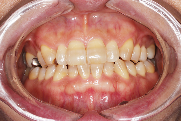
ホームホワイトニングスターターキット(27,500円(税込))+追加シリンジ4本セット(8,800円(税込))※2020年時点
主訴 歯の色が気になると来院。
全体クリーニング後、ご自宅でできるホームホワイトニングセット27,500円(税込)を購入。
2週間後、もう少し白くしたいとのことで追加で液を購入し、さらに2週間後希望の白さに近づけた。途中しみる症状が少しあったが落ち着いた。
治療期間:1か月
副作用・リスク:一時的に知覚過敏の症状が出る可能性あり